Male fertility gene discovery reveals path to success for sperm

Discovery of a pair of genes that work in perfect harmony to protect male fertility, could provide new insights into some unexplained cases of the most severe form of infertility, research suggests.

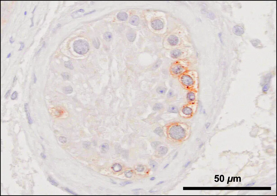
Image
Jumping genes (brown stain) attacking germ cell DNA (blue stain) in a human testis biopsy
Jumping genes (brown stain) attacking germ cell DNA (blue stain) in a human testis biopsy. Image Credit: Nadja Rotte & Birgit Stallmeyer, University of Münster

Genetic analysis of cases of male infertility revealed that rare mutations in a gene, known as SPOCD1, disrupts the formation of healthy sperm during the earliest stages of their development.

The gene was also found to work in partnership with a previously unknown gene, C19orf84, to protect the early-stage precursors to sperm, known as germ cells, from damage.

The discovery of the essential role of these two key genes could provide the answer to some cases of the most severe forms of male infertility and lead to expanded genetic screening for rare mutations, researchers say.

Cryptozoospermia and azoospermia, in which little or no sperm is produced, affects around 1% of men. In 45% of cases no cause can be found, but they are long suspected of having genetic causes.

Early sperm cells

Sperm cells biggest challenge starts long before the journey to reach the egg as they are particularly vulnerable during the earliest stages of their development, as germ cells in developing embryos.

Germ cells must protect their DNA from damage during the embryo’s development so they can become the pool of self-renewing cells that produce healthy sperm throughout adult life.

A previous study by the researchers had shown that SPOCD1 has an essential role in protecting germ cells in male mice, but it was unclear whether the same process happened in humans.

Genetic Analysis

In collaboration with researchers at the University of Münster and other partner universities, scientists at the University of Edinburgh screened international databases containing genetic data from 2913 men involved in studies on infertility.

They identified three men who carried faulty versions of the SPOCD1 gene which resulted in damage to germ cells that prevented healthy sperm development – this failure to launch led to infertility. 

During their development, germ cells undergo a reprogramming process that leaves them vulnerable to rogue genes, known as jumping genes, which can damage their DNA and threaten fertility.

Germ cells are the vital link between generations but they need unique strategies to protect the genetic information they carry, so it can be passed successfully from parents to their offspring.

Protective  Chemical Tags

The previous study in mice found that the SPOCD1 gene helps to recruit protective chemical tags, known as DNA methylations, to disable jumping genes.

This study revealed that the men with faulty versions of the SPOCD1 gene had the most severe forms of infertility, azoospermia and cryptozoospermia.

Analysis of the mutated variants of the SPOCD1 gene also revealed a new gene, known as C19orf84 which partners with SPOCD1 and forms an important line of defence in early sperm cells.

Further study of the role of these genes in early-stage sperm cells in mouse embryos revealed that both produce proteins are essential in recruiting the protective tags that silence jumping genes.

Scientists have long puzzled over how germ cells escape damage during the reprogramming process, as it temporarily wipes their genetic slate clean of existing protective tags.

Protein Partnership

C19orf84 protein acts as a matchmaker connecting the SPOCD1 protein with the cell’s protective chemical tag-making machinery and directing them towards the jumping genes before they can damage the genome.

Increased understanding of this process together with expanded genetic screening will allow scientists to identify if faulty versions of these genes are the cause of some of these rare cases of male infertility, researchers say.

The study, published in Molecular Cell, was funded by Wellcome. It also involved researchers from University of Oxford, University Hospital Münster, The University of Melbourne, Oregon Health and Science University, University of Utah and Technische Universität Berlin.

 

This was a wonderful collaborative project that led to the discovery of new genetic causes of male infertility. We also advanced our understanding of a process that is fundamental to healthy sperm cell development. These mechanistic insights are leading to a better understanding of the elusive process that allows developing sperm to preserve their genetic integrity and escape an early death.

Professor Dónal O'CarrollLead author of the study, the School of Biological Sciences

A truly collaborative achievement, this study enhances our understanding of male infertility on the molecular and genetic level. I am particularly proud that so many co-authors joined efforts and contributed their expertise. We demonstrate strong evidence for SPOCD1 to be included in genetic screenings of male infertility patients. Providing a genetic diagnosis can help provide closure to affected individuals and potentially prevent unnecessary medical procedures.

Dr Ansgar ZochFrst and co-corresponding author of the study, the School of Biological Sciences

Related Links

C19ORF84 connects piRNA and DNA methylation machineries to defend the mammalian germline, Molecular Cell

Donal O’Carroll 

Ansgar Zoch

Centre for Regenerative Medicine